all services

Cazuri

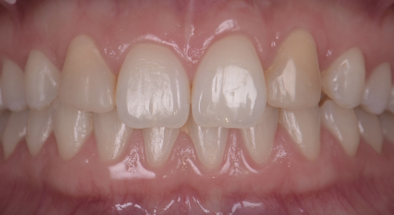
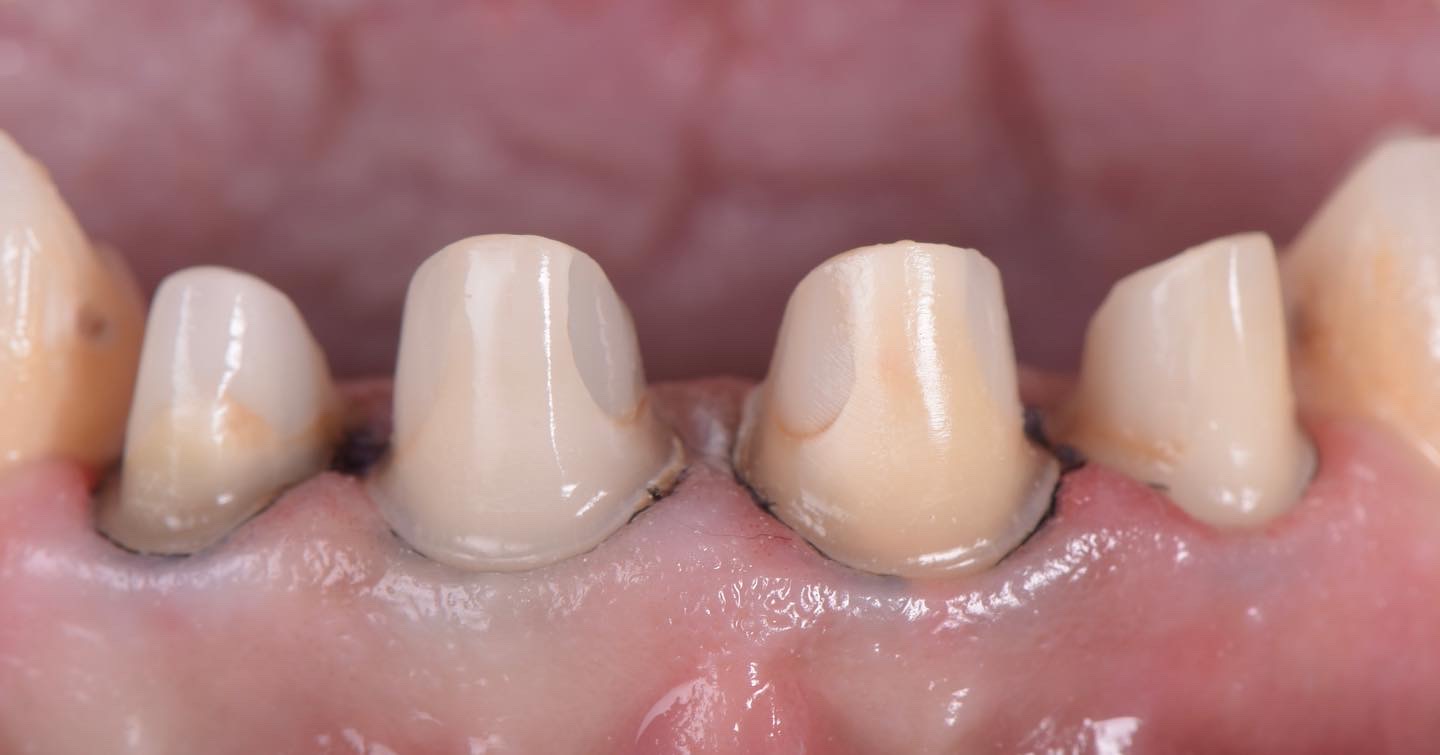
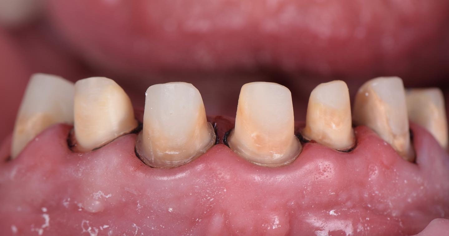
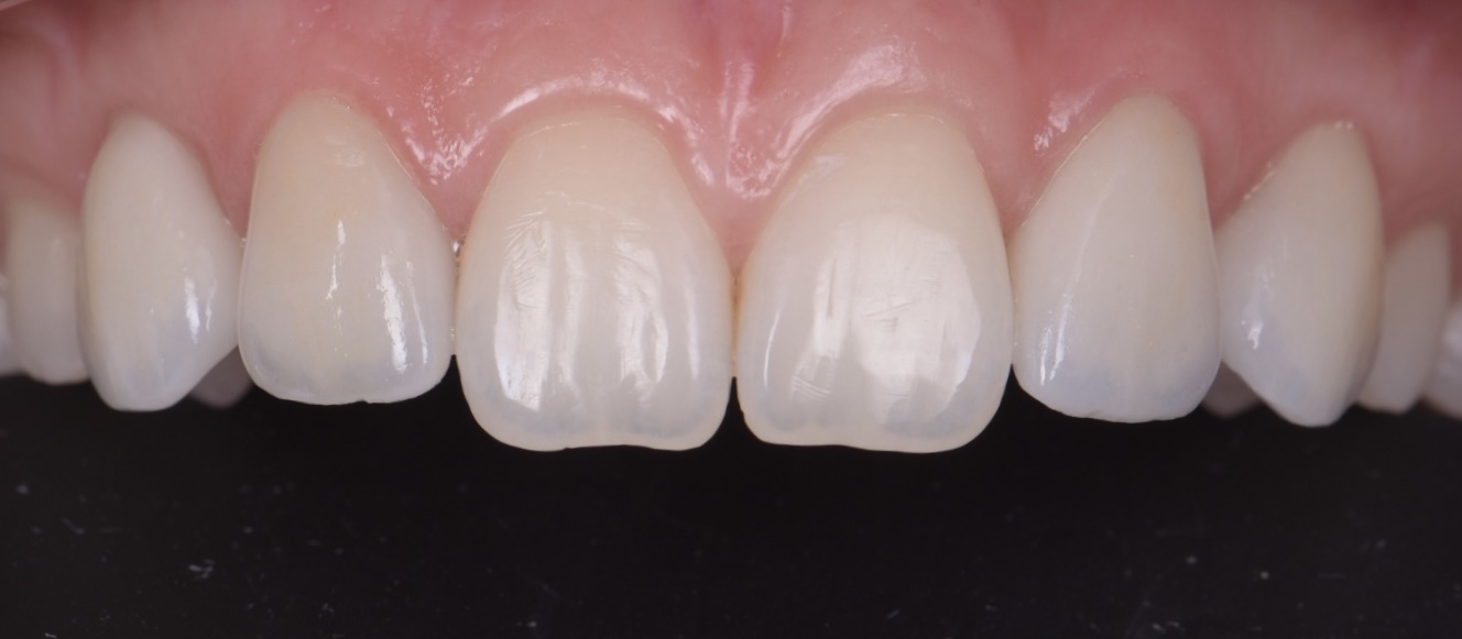
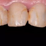
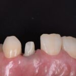
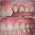
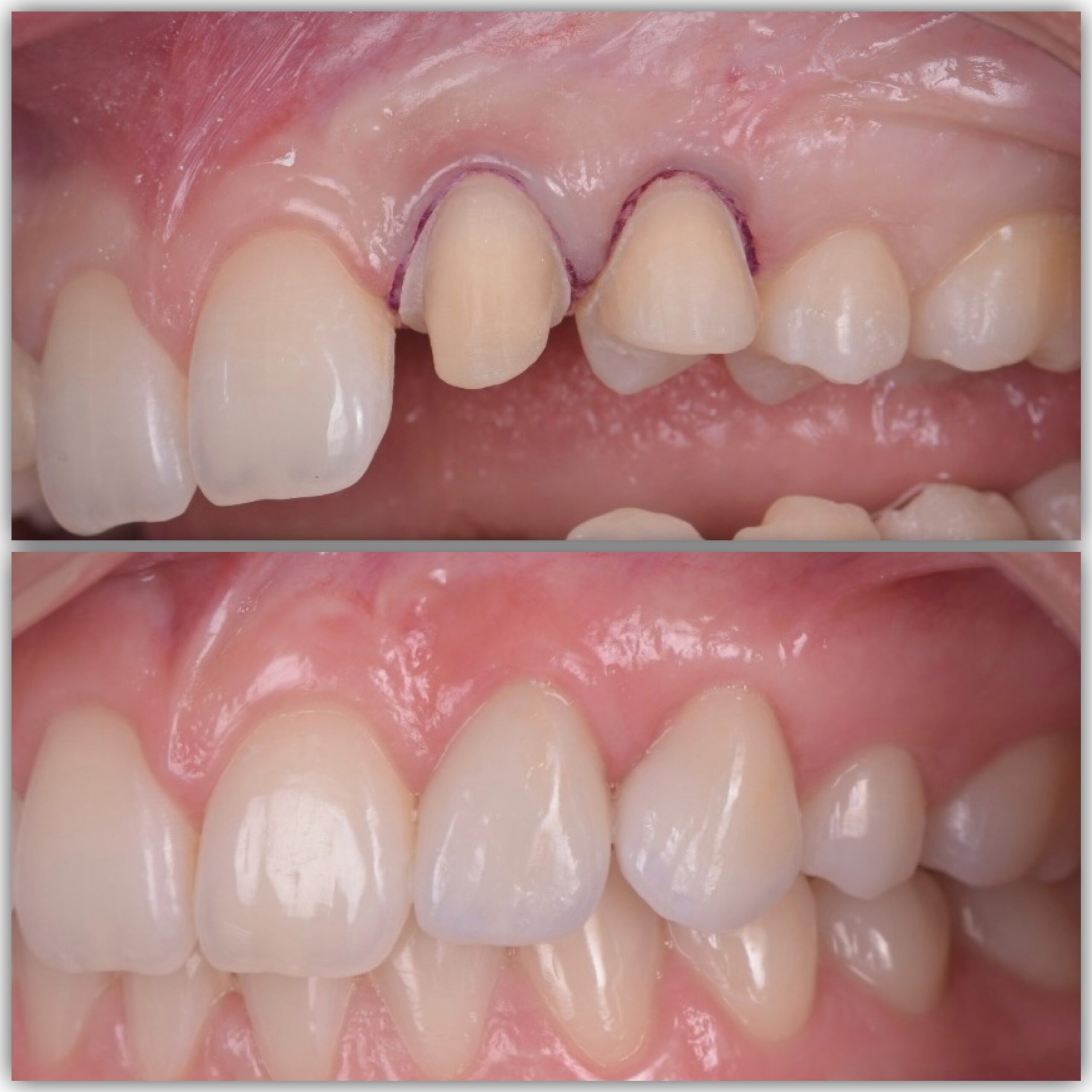
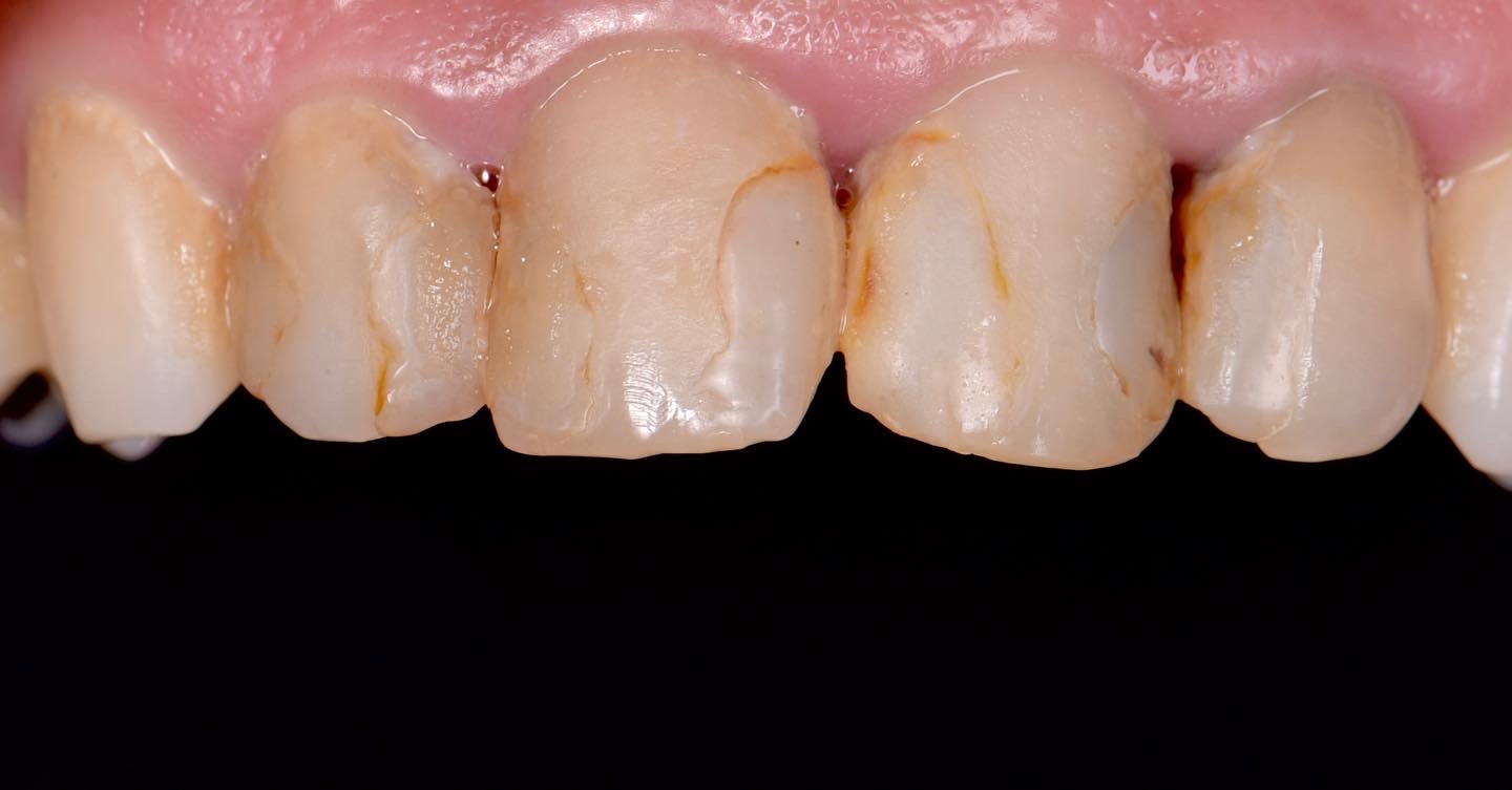
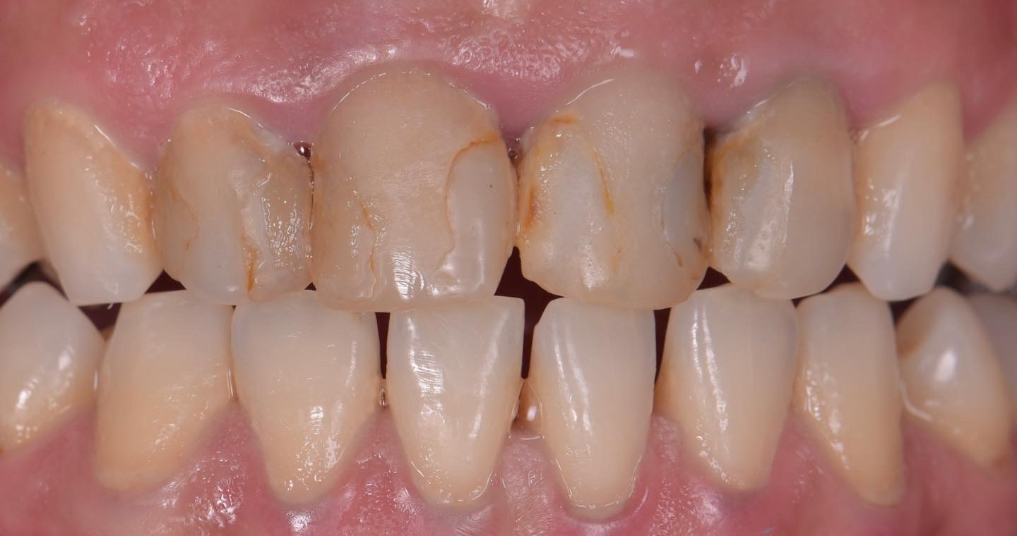
Caz 1 - Smile makeover - reconstructie bonturi + preparatii cu prag + coronite E-Max
Caz 2 - Tratament de canal + obturatie fizionomica din compozit
Caz 3 - obturatie fizionomica din compozit
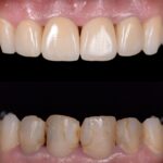
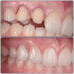
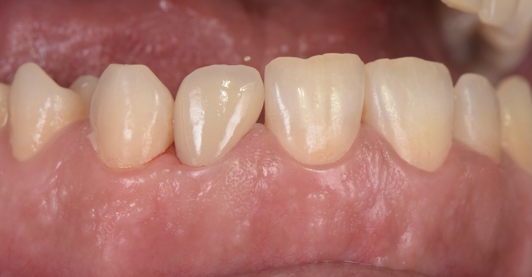
Caz4 - Fatete si coronite ceramice -before/after
Caz 5 - obturatie fizionomica din compozit
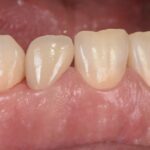
Caz 6 - "chips"-uri ceramice pe masa refractara
Caz 7 - Obturatie fizionomica din compozit
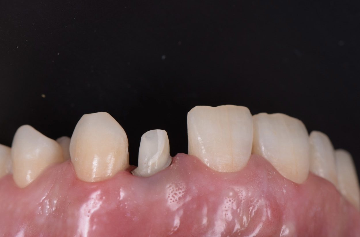
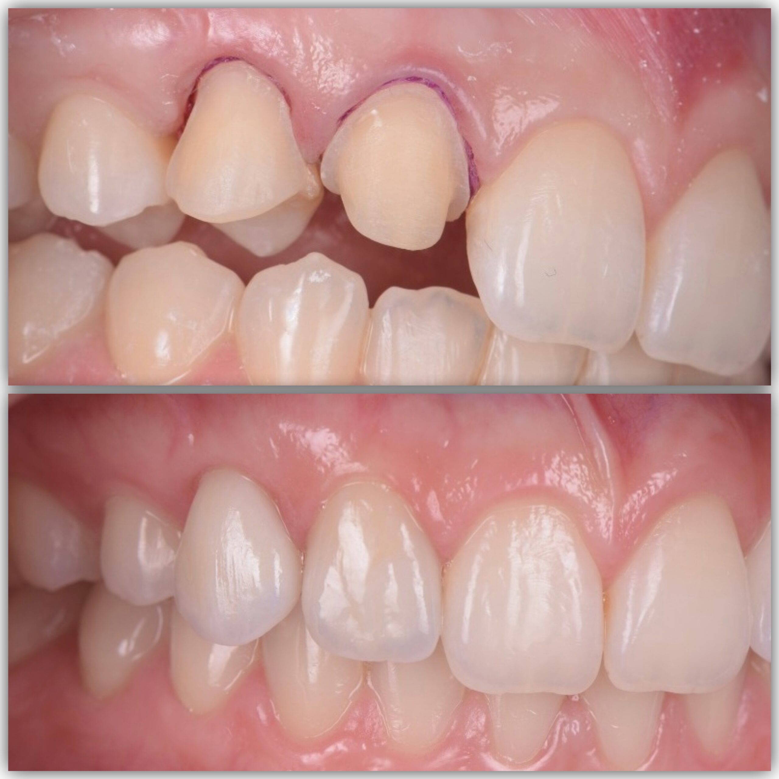
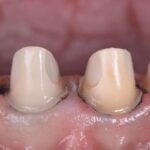
Caz 8 - Reconstructie pe pivoti din fibra de sticla
Caz 9 - Reconstructie pe pivot din zirconiu+coroana E-Max

Clinica noastră a fost creată pentru a vă face zâmbetul frumos și sănătos. Oferim o gamă largă de servicii de tratament și restaurare dentară.

Suntem și pe facebook
© 2021 Toate drepturile rezervate. Site creat de ottoweb, pentru Dr. Petric Răzvan / House of Dentistry
Scroll to top